![]() |
![]() |
| 이원유 원장 - 연세이원유치과의원원장, 전 연세대 교수, 교정전문의, 워싱턴주립대 교정과 초빙교수, 켄터키대학 구강안면통증센터 초빙교수, 세계치과교정학회, 미국치과교정학회, 구강안면통증학회, 아시아 임플란트학회 회원, 아시아 두개안면장애학회 회원, 대한치과교정학회 정회원, 대한치과이식임플란트학회 회원 |
구전 동요에 ‘까치야, 까치야, 헌 이 줄게, 새 이 다오’라는 가사가 있다. 예전 아이들은 어렸을 때 이런 노래를 부르고 놀았다. 하지만 지금은 그런 경험보다는 치과에서 간단하게 빼는 경우가 많아 그런 노래를 자주 들을 수 없기도 하다.
헌 이는 젖니를 뜻하며, 새 이는 영구치를 뜻한다. 헌 이를 빼서 지붕 위에 던지면 까치가 물어가서 새 이를 선물한다는 것이다. 까치는 흔히 볼 수 있는 새로서 우리 일상생활과 매우 밀접한 관계에 있음을 알 수 있다. 아침에 까치가 울면 반가운 손님이 온다든지, 까치와 관련된 동화나 전설은 매우 많은 편이다. 예전에는 까치는 갓치라고도 했는데 갓이란 새로운 이라는 뜻이며, 치(齒)라는 뜻이라 발음상 그렇게 연관 지었다는 설도 있다.
![]() |
새해를 시작하는 2020년 첫날에 새롭게 시작하고자 모두들 다짐한다. 묵은 때와 짐을 벗어버리고 새로운 미래를 향하여 힘차게 비상하는 꿈을 꾸어본다.
그런데 지난 2019년 기해년을 돌아보는 사자성어를 우리나라 성인을 대상으로 조사했더니, 걱정이 많아 잠을 이루지 못했다는 뜻의 전전반측(輾轉反側)을 가장 많이 꼽았다. 또한, 직장인들은 스스로 제 갈 길을 찾는 각자도생(各自圖生), 자영업자들은 온갖 애를 썼지만 보람이 없다는 노이무공(勞而無功)을 꼽았다. 이를 종합하면 지난해는 걱정이 많고, 살기가 힘든 세상이라는 말이다.
최근 교수신문이 발표한 2020년 사자성어 공명지조(共鳴之鳥)는 자기만 살려고 하면 모두가 망한다는 의미를 통해 최근 우리 사회의 갈등과 대립을 질타하였다. 또한, 중소기업이 뽑은 2020년 사자성어는 암중모색(暗中模索)으로 2019년보다 경제 상황이 더 나빠질 전망이라고 한다.
돌아보면 아직도 무거운 현실 앞이 우리 앞에 놓여 있음을 알 수 있다. 환경적으로도 미세먼지의 공습은 세계 곳곳에서 재앙에 가까운 수준으로 발전하고 있다. 인간의 편리함을 위해서 과학기술은 발전하지만, 치명적인 환경오염을 낳고 있다. 또한 지금은 인공지능이 발달하여 인간의 능력을 초월하는 인공지능의 시대가 도래하고 있다. 인간의 한계와 조물주가 만든 자연의 섭리 사이에서 어떠한 균형을 잡을 수 있을지 자못 궁금하다.
구전 동요의 내용처럼 까치에게 헌 이를 준다는 것은 젖니를 버려야 새로운 치아, 영구치를 얻을 수 있다는 것이다. 실제로 헌 이가 빠지지 않고 계속 버티고 있다면 어떻게 될까? 헌 이 자리에 나올 영구치는 헌 이를 피해 옆으로 삐뚤게 나거나 아예 매복될 수 있다. 즉, 헌 이가 계속 남아 있으면 영구치아가 비뚤배뚤하게 나거나 덧니가 생기게 된다.
![]() |
우리 선조들의 지혜의 한 면을 볼 수 있는 그것은 헌 이를 빼 버리는 것이 아니라 준다는 것이다. 자발적인 동의가 있어야 주게 된다. 어린아이가 젖니를 빼서 울고 있을 때, 스스로 지붕 위로 헌 이를 던진다면, 아픔을 빨리 잊게 할 뿐 아니라 지켜보는 부모님이나 형제에게 격려를 받게 된다. 또한, 눈물 흘리면 지붕 위로 던지는 아이의 모습에서 가족들은 아이의 기특함을 느낀다. 헌 이를 빼고 나면 어린이에게는 이제는 자라서 어엿이 가족의 일원으로 되었다는 증거도 된다. 까치가 물어가든지 바람에 날려가든지 얼마 지나지 않아 새 이가 하얗고 예쁜 머리를 내밀 때, 아이들은 거울을 보며 환호성을 지르게 될 것이다.
나도 어릴 때 새 이가 희고 고운 얼굴을 입속에서 머리를 내미는 신비롭고 놀라운 경험이 있다. 아래 앞니가 새하얀 머리를 내밀고 나는데 똑바로 나지 않고 약간 틀어지게 나고 있었다. 어머니께서는 혀로 앞니를 앞으로 밀어내면 바로 잡을 수 있다 하시길래, 몇 개월 열심히 혀를 내밀자 아래 앞니가 제대로 배열되었다. 그 때 나는 부드러운 혀의 힘을 알게 되었고, 치의학에 입문하면서 혀의 힘으로도 치열이 바뀔 수 있다는 것이 확실히 알게 되었다. 혀를 내미는 습관은 치아 이동을 일으키는데 특히 어린 영구치가 입안으로 머리를 내밀고 올라올 때 혀로 내밀면 치아이동이 잘 일어난다. 그러나 혀 내밀기 버릇이 심하면 앞니의 개방을 일으키거나 치아교정 후에 치아의 회귀를 일으킬 수 있다.
새해 첫날이다. 우리의 헌 것들을 버리고, 새로운 것을 채울 수 있으면 좋겠다. ‘헌 이를 줄게 새 이를 다오’처럼 지난 과거의 묵은 옛것들을 벗어버리고 새로운 것을 사모했으면 좋겠다.
’너희는 유혹의 욕심을 따라 썩어져 가는 구습을 따르는 옛 사람을 벗어버리고 오직 너희의 심령이 새롭게 되어 하나님을 따라 의와 진리의 거룩함으로 지으심을 받은 새사람을 입으라‘ 에베소서 4장 22~24절 말씀이 있다.
’헌 이 줄게, 새 이 다오‘에서 새 이를 영구치라고 말하는데, 사실 이름이 영구치이지 영구한 것은 없다. 기껏해야 100년 우리 몸에 살아 있다가 땅으로, 자연으로 돌아가게 된다. 영구한 것은 물질이 아닌 영혼의 세계 즉, 하나님을 따라 사는 불멸의 영원한 세계에 있는 것이 아닐까? 새해에는 헌사람 주고 새사람이 되었으면 좋겠다.
![]() |
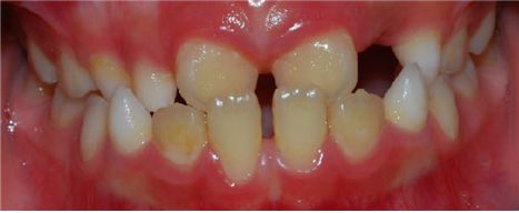
| 치료전: 위아래의 앞니들은 영구치들로 반대교합으로 되어 있고, 좌우 하얀 색의 치아들은 아직 젓니인 상태로 남아 있다. |
![]() |
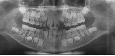
| 턱뼈 속에 영구치들이 젓니 뿌리를 흡수시키며 자라나고 있다 |
![]() |
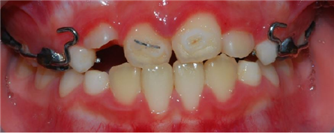
| 치료중: 반대교합이 심할 때는 윗니에 교정장치를 걸어서 앞으로 끌어내면 반대교합을 교정할 수 있다. 윗턱에 상악골을 견인하는 장치가 보인다. |
![]() |








