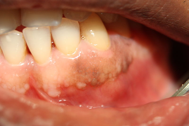
간혹 양치하다가 잇몸에서 피가 나는 경험을 합니다. 잇몸 염증의 초기 증상으로 피가 나며 잇몸이 발갛게 붓습니다. 잇몸 염증이 심해지면 피가 더 심하게 나며 아프고 입 냄새는 납니다.
잇몸의 염증을 치아주위 염증, 치주염이라고 합니다. 치주염은 최근 국민건강보험공단에 의하면 전 국민에서 가장 흔한 병으로 감기보다 더 흔한 병이 되었습니다. 치주염의 원인으로 첫 번째로는 입안에 음식 찌꺼기 때문입니다. 음식 찌꺼기에 병균이 자라면 독소를 분비하여 잇몸에 염증이 생깁니다. 두 번째 이유는 신체 면역의 저하입니다. 잇몸은 신체의 건강 상태를 나타내는 척도입니다. 건강할 때는 잇몸이 괜찮다가 피로나 스트레스로 면역력이 떨어지면 곧바로 잇몸이 들뜨고 피가 납니다. 구강에는 항상 수백만 마리의 세균들이 존재하는데 자가 면역력이 떨어지면 정상 세균보다 나쁜 세균들이 많이 증가하여 염증이 나타납니다.
그러면 잇몸에서 피가 날 때는 어떻게 해야 하나요?
첫 번째, 우선 피나는 부위를 칫솔과 치실로 깨끗이 닦는 것입니다. 하루 이틀간 치아를 깨끗이 닦는데 불구하고 출혈이 계속된다면 결코 가벼운 증상이 아닙니다. 이는 잇몸 염증이 꽤 진행된 상태이므로 치과에서 피가 나는 부위의 염증조직과 치석을 깨끗이 제거해야 합니다. 만약 출혈을 그대로 내버려 두면 염증이 더욱 진행되어 치아주위 골까지 파괴되어 심하면 치아가 흔들리고 나중에는 결국 뽑아야 하는 상황이 됩니다. 구강세정기나 치실을 사용하면 교정 장치나 임플란트 주위에 음식 찌꺼기의 쉽게 제거할 수 있습니다.
둘째, 끈적이거나 단 음식을 피하는 것이 좋습니다. 끈적이는 음식과 단 음식은 치아에 달라붙어 병균이 잘 자라게 됩니다.
셋째, 건강한 생활 습관입니다. 생활 습관에는 수면, 식습관, 운동 등 습관이 있는데 특히 수면 습관이 중요합니다. 사람은 잠을 잘 때 신체의 모든 세포는 휴식과 회복을 하게 됩니다. 만약 잠을 충분히 자지 못하면 휴식과 회복을 하지 못하므로 면역력이 급격히 떨어지게 됩니다. 간혹 밤을 새우고 나면 곧바로 잇몸이 들뜨고 피가 나는 것도 이 때문입니다.
그래서 습관적으로 늦게 잠드는 분들은 수면 호르몬의 변화로 신체와 정신의 회복이 저하되게 됩니다. 따라서 오후 10~11시 이전에 잠자리에 들어 충분한 잠을 자는 것이 좋습니다.
요즘 중장년 또는 노년층의 분들이 잠들기 힘들다고 호소하는 분들이 많습니다. 제대로 잠을 자지 못하면 수면의 양과 질이 떨어집니다. 특히 코골이로 인한 수면 무호흡증은 입을 벌리고 자기 때문에 입안을 건조하게 하여 세균이 쉽게 번식합니다. 따라서 수면 무호흡증 있다면 잇몸 염증도 잘 생길 수 있습니다.
또한, 코골이로 인한 수면 무호흡증이 있다면 산소를 제대로 들이마시지 못하기 때문에 심장과 혈관뿐 아니라 각종 질환을 일으키므로 중년 이상의 성인들의 건강을 위협하는 최고의 적입니다.
미국에서는 갑자기 사망하는 심장 마비의 이유 중 하나가 바로 수면 무호흡이며, 뇌졸중 환자의 70%가 수면무호흡증 환자라는 사실이 밝혀졌습니다. 수면무호흡증은 심장 마비, 뇌졸중 등의 치명적 손상과 치매와 당뇨, 졸림과 무기력으로 생활에 심각한 영향을 줍니다. 따라서 코골이로 인한 수면무호흡증은 먼저 다양한 검사를 시행하여 원인을 파악해야 합니다. 수면무호흡 치료로는 일차적으로 구강 내 코골이 장치를 사용하며, 증상이 심할 경우 목젖 부위 수술이나 강제로 산소를 불어넣는 양압장치를 사용할 수 있습니다.
참고로, 잇몸에서 출혈이 날 때 피가 나는 것이 무서워 양치질하지 않는 분들이 계십니다. 양치질하지 않으면 오히려 염증이 더 심해질 수 있으므로 피가 나더라도 조심해서 부드럽게 닦아야 합니다.
잇몸은 신체 건강을 나타내는 잣대입니다. 잠을 제대로 못자면 잇몸이 붓고 피가 납니다. 건강한 생활 습관으로 면역력을 높여 무병장수, 백 세의 꿈을 이루기를 바랍니다.


